About us
Ruhig zum ZahnarzT in Zug
Ich arbeite nach den Prinzipien der Slow Dentistry. Slow Dentistry bedeutet, dass ich mir bei den Behandlungen Zeit für die Arbeitsqualität nehme und mich an die vorgeschriebenen Techniken halte. Aus diesem Grund warte ich immer, bis die Anästhesie ihre volle Wirkung entfaltet hat, bevor ich mit einer zahnärztlichen Behandlung beginne, und bei Füllungstherapie lege ich einen Kofferdam an, um optimalen Patientenkomfort und Sicherheit zu garantieren.
In meiner Zahnarztpraxis in Zug lege ich grossen Wert auf ein entspanntes und persönliches Behandlungserlebnis für meine Patienten und vermeide daher hektische Behandlungen. Bei Slow Dentistry kannst du dich auf ein höheres Behandlungsniveau und mehr Sorgfalt im Detail freuen, was zu langlebigen Ergebnissen und besserer Mundgesundheit führt.
Dr. Anna NÉmethy in Zug
DIENSTLEISTUNGEN

Notfallbehandlungen
Hast du Zahnschmerzen oder ist dein Zahn abgebrochen? Wir helfen dir in Zug schnell und mit modernster Technik! Unser Ziel ist es, immer deinen Zahn zu retten und unnötige Zahnentfernungen zu vermeiden. Durch präzise und schonende Methoden stellen wir sicher, dass du rasch schmerzfrei bist und dein Lächeln behältst. Schmerzpatienten bekommen immer noch am gleichen Tag einen Termin während der Praxisöffnungszeiten.

Dental Hygiene- Zahnreinigung
Wir entfernen nicht nur Zahnstein, sondern führen auch eine aufhellende Politur durch. Um die zahnärztliche Sauberkeit aufrechtzuerhalten, gehört zur Behandlung auch eine individuelle Mundhygiene-Beratung, bei der wir dir genau zeigen, was du zu Hause tun kannst, um dein sauberes und gesundes Lächeln zu behalten.

Untersuchung
Wir wissen, dass du dich für einige Behandlungen vorbereiten musst. Daher führen wir beim ersten Termin keine definitive Behandlung durch, falls du keine akuten Probleme hast oder keine Zahnreinigung wünschst. Beim ersten Termin führe ich eine gründliche Untersuchung durch, bei der auch Fotos und kleine Röntgenbilder angefertigt werden, und ich informiere dich über die möglichen Behandlungsmöglichkeiten.

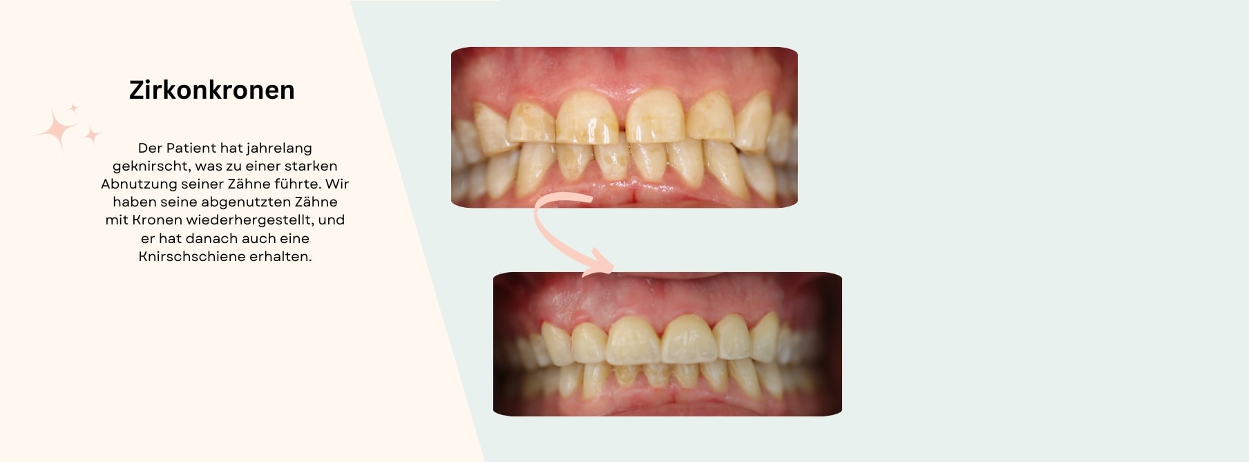
Zahnersatz, Zahnbrücke, Veneers, Zahnkrone
Mit Zahnersatz wie Zahnbrücken, Veneers, Zahnkronen oder Overlays können wir fehlende Zähne ersetzen und geschwächte Zähne wieder aufbauen, damit du wieder normal essen und strahlend lächeln kannst. Die Behandlung dauert bei uns in der Zahnarztpraxis in Zug ein paar Sitzungen, aber wir machen alles genau passend für dich – so, dass es natürlich aussieht und sich gut anfühlt. Mach dir also keine Sorgen, du wirst es lieben!

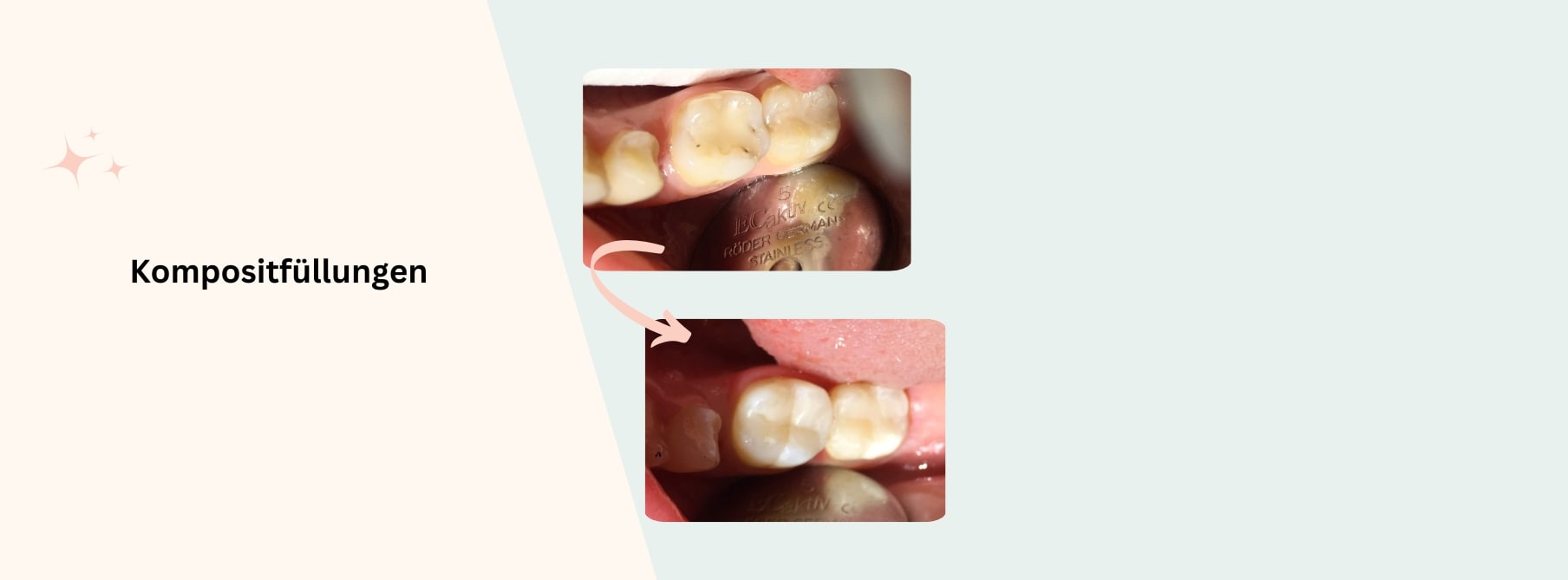
Zahnfüllungen und Direkt Veneers
Nach der Entfernung des kariösen Zahngewebes rekonstruiere ich die alte Struktur und fülle die Löcher im Zahn mit hochwertigen Füllungsmaterialien mit Chamäleon-Effekt, die unsichtbare Grenzen garantieren. Um Abbrüche zu vermeiden, verstärke ich die Zähne mit biomimetischen Materialien, die kleine Risse stoppen können. Mit Füllungen können nicht nur kariöse Zähne behandelt werden, sondern auch Frontzähne mit leichten Defekten oder Absplitterungen. Das Ergebnis ist jedoch immer gleich: ein funktionsfähiger und ästhetischer Zahn.

Zahnaufhellung Bleaching
Möchtest du ein strahlendes Lächeln? Mit Opalescence Boost biete ich in Zug eine effektive Zahnaufhellung in nur einer Sitzung. Mit diesem Material können die Zähne um 5-8 Farbstufen aufgehellt werden. Es ist nicht nur effizient, sondern enthält auch Wirkstoffe, die helfen, Zahnsensibilität nach dem Bleaching zu vermeiden. Nach der Behandlung sorge ich mit einer speziellen Creme dafür, dass deine Zähne nicht empfindlich werden

TMD - Kiefergelenk Untersuchung und Therapie
Unser Ziel ist es, deine Kiefergelenkschmerzen zu lindern, damit du wieder problemlos weit aufmachen, genussvoll gähnen und schmerzfrei essen kannst – ohne Kieferknacken, Schmerzen oder Spannungen. Wir bieten dir schmerzfreie, nicht-invasive Untersuchungen, um die Ursache deiner Kiefergelenkbeschwerden herauszufinden. Nach dem Ausfüllen des Kiefergelenkfragebogens und einem ausführlichen Gespräch beginnen wir mit der Untersuchung deines Kiefergelenks. Exklusiv bei uns in Zug hast du die Möglichkeit, mit einem speziellen Gerät objektiv festzustellen, ob deine Beschwerden durch das Gelenk oder durch die Kaumuskulatur verursacht werden.

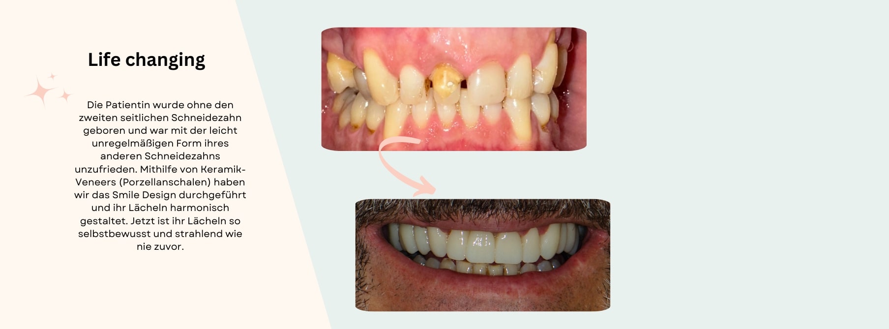
Smile design Dein ästhetisches Lächeln gestalten
Lass uns gemeinsam das perfekte, strahlende Lächeln entwerfen, das zu deinem Gesicht und deiner Persönlichkeit passt. Wir hören auf deine Wünsche und beraten dich professionell zu den verschiedenen Möglichkeiten der Zahnästhetik. Ob unsichtbare Zahnkorrekturen mit Invisalign (durchsichtige Zahnspange), direkte Veneers, Keramik-Veneers oder ästhetische Kronen – wir finden die ideale Lösung für dein Traumlächeln, individuell abgestimmt auf deine Bedürfnisse und Vorstellungen.

Internal Bleaching
Hast du einen grauen oder braunen Zahn? Dann hilft dir unser Internal Bleaching-Protokoll bei uns in Zug, deine natürliche Zahnfarbe zurückzugewinnen – ohne Krone oder Veneer bezahlen zu müssen. Das Bleichmittel wird direkt in den Zahn eingebracht und hellt diesen in 7 Tagen von innen heraus auf.
Dr. Anna Némethy
Mein Ziel ist es, die Lebensqualität meiner Patienten zu verbessern.
Als Zahnärztin in Zug lege ich grossen Wert darauf, dass Du dich als mein/e Patient/in wohl fühlst und keine Angst vor Behandlungen haben musst. Deshalb nehme ich mir ausreichend Zeit, um dich gründlich aufzuklären und gemeinsam mit Dir die bestmögliche Behandlungsmethode zu finden. Als Teil meiner Motivation für eine exzellente Patientenbetreuung bilde ich mich ständig weiter, um dich die bestmögliche Behandlung und Lösung anbieten zu können.
















REZENSIONEN
Contact Us
+41764047021
FAQs
Frequently Asked Questions
Lorem ipsum dolor sit amet, consectetur adipiscing elit. Aenean porta rhoncus leo, eget iaculis arcu dapibus vel. Lorem ipsum dolor sit amet, consectetur adipiscing elit. Proin porttitor, erat mollis, magna augue consectetur lorem.
Lorem ipsum dolor sit amet, consectetur adipiscing elit. Aenean porta rhoncus leo, eget iaculis arcu dapibus vel. Lorem ipsum dolor sit amet, consectetur adipiscing elit. Proin porttitor, erat mollis, magna augue consectetur lorem.
Lorem ipsum dolor sit amet, consectetur adipiscing elit. Aenean porta rhoncus leo, eget iaculis arcu dapibus vel. Lorem ipsum dolor sit amet, consectetur adipiscing elit. Proin porttitor, erat mollis, magna augue consectetur lorem.
Lorem ipsum dolor sit amet, consectetur adipiscing elit. Aenean porta rhoncus leo, eget iaculis arcu dapibus vel. Lorem ipsum dolor sit amet, consectetur adipiscing elit. Proin porttitor, erat mollis, magna augue consectetur lorem.
Lorem ipsum dolor sit amet, consectetur adipiscing elit. Aenean porta rhoncus leo, eget iaculis arcu dapibus vel. Lorem ipsum dolor sit amet, consectetur adipiscing elit. Proin porttitor, erat mollis, magna augue consectetur lorem.
Lorem ipsum dolor sit amet, consectetur adipiscing elit. Aenean porta rhoncus leo, eget iaculis arcu dapibus vel. Lorem ipsum dolor sit amet, consectetur adipiscing elit. Proin porttitor, erat mollis, magna augue consectetur lorem.
Blog News
Blog & Articles From Dentry
Kontakt
Telefon - WhatsApp
+41764047021
E-mail Adresse
info@dranna.ch
Adresse
Baarerstrasse 91 6300 Zug Ein kostenloser Parkplatz steht hinter dem Gebäude zur Verfügung.
Öffnungszeiten
Montag
9:00 –20:00
Donnerstag
9:00 –18:00
Freitag
9:00 –17:00
Samstag
9:00 –16:00